這幾年,要說哪種「養生大法」最容易在打工人、減肥黨和熬夜人之間形成「跨圈層共識」,「16+8輕斷食」絕對算得上頭部選手。
它的實操方法也確實很「討喜」:不用餐餐盯着熱量表,只需要把吃飯這件事壓縮進8小時內,剩下連續16小時保持空腹(可以喝水)。聽起來,既不像節食那麼痛苦,也比「頓頓水煮菜」更容易堅持。
事實上,這套看似很「新」的養生法,骨子裏一點也不新。
無論是古代醫學裏「少食以養」的樸素經驗,還是許多修行傳統中「節食、控食」的做法,本質上都在傳遞一個相似的信號——吃少一點、空一會兒,未必是虧待自己,反而可能是在給身體一次喘息和重整秩序的機會。
16小時輕斷食+免疫治療,
抗癌效果被進一步「放大」
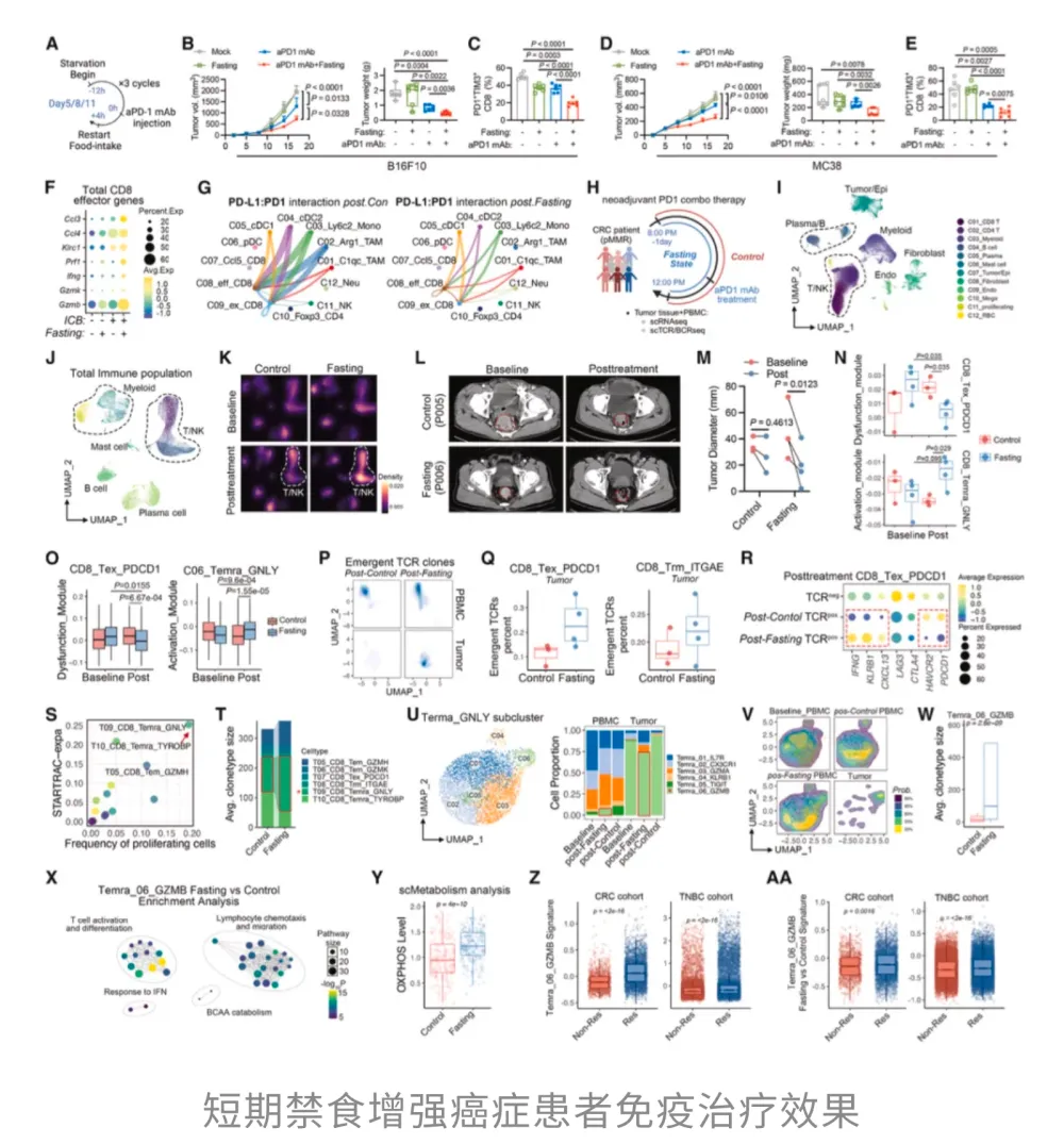
近期,來自浙江大學的研究團隊發表於Cell子刊Cell Metabolism的一項研究[1]發現,「空一會兒肚子」可能不只是讓脂肪更難囤、讓褲腰更松一點,它甚至有可能在關鍵時刻,幫免疫細胞搶回「戰場」。短短16小時的禁食,足以誘導異亮氨酸這種必需氨基酸在腫瘤局部積累,進而給CD8⁺T細胞加滿「戰鬥值」,增強它們殺傷癌細胞的能力,並顯著放大癌症免疫治療的效果。

他們發現,經過這段短期禁食後,腫瘤中的CD8⁺T細胞像是被重新「充了電」,抗腫瘤戰鬥力明顯提升,原本那種疲憊、「打不動」的耗竭傾向減輕了,連γ干擾素(IFN-γ)和顆粒酶B(GZMB)這兩類專門用來「清剿」癌細胞的效應分子,也都明顯增加。
換句話說,禁食讓腫瘤中的免疫細胞重新找回了狀態,從「有點蔫」變成了「真能打」。

結果觀察到,短期禁食同樣能夠在人類結直腸癌患者體內重塑腫瘤免疫微環境。CD8⁺T細胞同樣更傾向於走向細胞毒性更強、耗竭程度更低的狀態。

那短期禁食,究竟是怎麼把腫瘤里的免疫細胞重新「調動起來」的?
研究團隊順着代謝這條線往下挖,他們發現,大約16小時的短期禁食,足以特異性地重塑腫瘤微環境中的代謝狀態,讓異亮氨酸(Ile)在腫瘤內部明顯富集,這正是腫瘤內CD8⁺T細胞重新恢復戰鬥力的重要基礎。

Ile是人體必需的九種氨基酸之一,屬於支鏈氨基酸家族。在模擬腫瘤內部「捉襟見肘」的營養環境時,研究者進行了一個很直觀的對比:一旦在培養基中補充Ile,原本狀態低迷的CD8⁺T細胞,不僅增殖能力恢復了,連殺傷功能也明顯增強;而把Ile撤走後,這些細胞很快又變得「提不起勁」,活性和功能雙雙下滑。
這也意味着,CD8⁺T細胞想要「打」得動腫瘤,前提之一,就是獲取並利用lle。
Ile被CD8⁺T細胞「吃進去」之後,是怎麼把免疫細胞重新「帶飛」的呢?
原來,Ile進入T細胞後,會被一步步送入線粒體,經過一連串代謝反應,最終轉化為乙酰輔酶A。一方面,乙酰輔酶A能參與線粒體的氧化磷酸化,為T細胞提供充足能量。
另一方面,CD8⁺T細胞想要真正進入高效殺傷狀態,還得把一批關鍵的效應基因徹底「打開」。這一步,離不開一種重要的表觀遺傳調控——組蛋白乙酰化。直白來說,就是要在某些關鍵基因所在的位置貼上「現在可以高效表達」的標籤。Ile代謝產生的乙酰輔酶A,正是製造這些「激活標記」的原材料。
不僅如此,乙酰輔酶A還是合成磷脂等膜脂的重要原料。對於CD8⁺T細胞來說,它們要想精準貼近腫瘤細胞、形成穩定接觸,並順利釋放殺傷性效應分子,細胞膜結構必須足夠完整、靈活。少了這層「硬件支持」,再強的殺傷程序也很難真正落地。
因此,lle通過提供乙酰輔酶A,同時為CD8+T細胞提供了能量、表觀遺傳重塑的指令,以及物質合成的原料,把CD8⁺T細胞從「有心無力」推到「火力全開」的狀態,三位一體地撐起它們強大的抗腫瘤能力。

既然短期禁食後,腫瘤中的Ile水平明顯升高,而且偏偏又對CD8⁺T細胞大有好處,那這些Ile,究竟是從哪裏「冒出來」的?
研究者進一步進行了代謝通量分析,發現:禁食之後,腫瘤細胞自身對支鏈氨基酸(包括Ile)的分解利用反而下降了。換句話說,腫瘤細胞自己先不怎麼「吃」了,於是Ile才在局部環境中慢慢積了起來。
但這並不意味着腫瘤細胞就此「認命挨餓」。恰恰相反,在斷食帶來的營養壓力下,它們很快切換到了另一套「求生模式」:少碰Ile,多抓穀氨酰胺。對腫瘤細胞來說,穀氨酰胺更能幫它們「保命」,幫助它們維持線粒體代謝和基本生存。
為了高效拿到這份「救命口糧」,腫瘤細胞啟動了一場精打細算的氨基酸交換。它們通過細胞膜上的特定轉運蛋白,把手裏的某些氨基酸「拿出去換」,以換回自己更急需的穀氨酰胺。在這個過程中,Ile就成了那個被拿來「交易」的籌碼,被不斷釋放到腫瘤微環境中。
簡而言之,16小時左右的短期禁食,迫使腫瘤細胞為了獲取生存必需的穀氨酰胺,不得不進行一種「代謝交易」,將寶貴的lle「拱手相讓」給周圍的CD8+T細胞。腫瘤細胞原本是想「自救」,結果卻在無意中給免疫細胞遞了「燃料」。

基於上述發現,研究團隊驗證了這套「16小時輕斷食+免疫治療」的組合方案的治療潛力。

換言之,短期禁食可以重塑代謝環境,增強T細胞功能,並進一步放大免疫治療的效果。

16+8輕斷食,怎麼一會兒「封神」,
一會兒「翻車」?
不過,這些年一直穩坐飲食圈的「頂流」位置的16+8輕斷食,支持者不少,爭議聲也同樣不小。
比如,此前一項由上海交通大學醫學院聯合哈佛大學開展的研究[2],就讓不少「輕斷食人」當場破防。研究結果顯示,與每天進食時間集中在12-14小時的人相比,每天進食窗口少於8小時的人,心血管死亡風險反而高出了135%。
看到這裏,很多人開始嘀咕:「同樣是16+8輕斷食,怎麼有時候被捧上「神壇」,有時候又被認為「翻車」?」
正因為結論時常「打架」,我們才有必要把近年來關於16+8輕斷食正負兩方面的研究放在一起,重新捋一捋。
近年16+8輕斷食正負兩方面的研究匯總

不難發現,16+8輕斷食的「高光時刻」,大多集中在機制和代謝層面;而它「翻車」的地方,往往在於執行方式出了偏差——比如把它當成了「亂挨餓」,或者不管自己適不適合,都一股腦兒往身上套。
事實上,16+8是一種幫助飲食自律的時間框架。但如果有人一邊16+8,一邊在8小時進食窗口裏奶茶照喝、炸雞照炫,把原本的宵夜改成「下午茶暴食」,那最後多半只是把「亂吃」從晚上平移到了白天。
說到底,科學的16+8,儘量得讓吃飯時間順着身體的生物鐘走。相比於把主餐拖到深夜,更推薦把進食窗口安排在白天和傍晚,比如9:00–17:00、10:00–18:00或11:00–19:00。
而且,對大多數普通成年人來說,比起一上來就死磕16+8,更適合先從12+12或14+10過渡。進入8小時進食窗口後,也別把它當成「餓了半天終於放飛自我」的補償時段,而是儘量把飯吃得更規整、更有質量:蛋白質、蔬菜、水果和優質碳水該有的都得有。

當然,16+8也不是人人都適合。它更適合那些平時夜宵多、飲食節律混亂、總熱量容易失控,或者本身就有控體重、改善代謝需求的成年人。可如果是孕哺期女性、青少年、體重偏低或營養不足者、容易低血糖,以及胃腸功能較差的人,不太適合盲目跟風~
註:研究[1]臨床隊列樣本量偏小,需大樣本隨機對照試驗驗證;且未拓展至更多癌種,普適性待驗證。











